Добро пожаловать в раздел «Клинические случаи» стоматологической клиники Diplomat Med Center в Кишиневе. Здесь вы найдете реальные примеры лечения, фото «до» и «после», подробные описания методов и применяемых технологий. Мы делимся успешными кейсами по имплантации, протезированию, исправлению прикуса, лечению кариеса и другим направлениям стоматологии. Все случаи подтверждены документально и выполнялись нашими ведущими специалистами. Ознакомьтесь с нашими результатами и убедитесь в профессионализме команды.
Клинические случаи: реальные примеры лечения в Diplomat Med Center
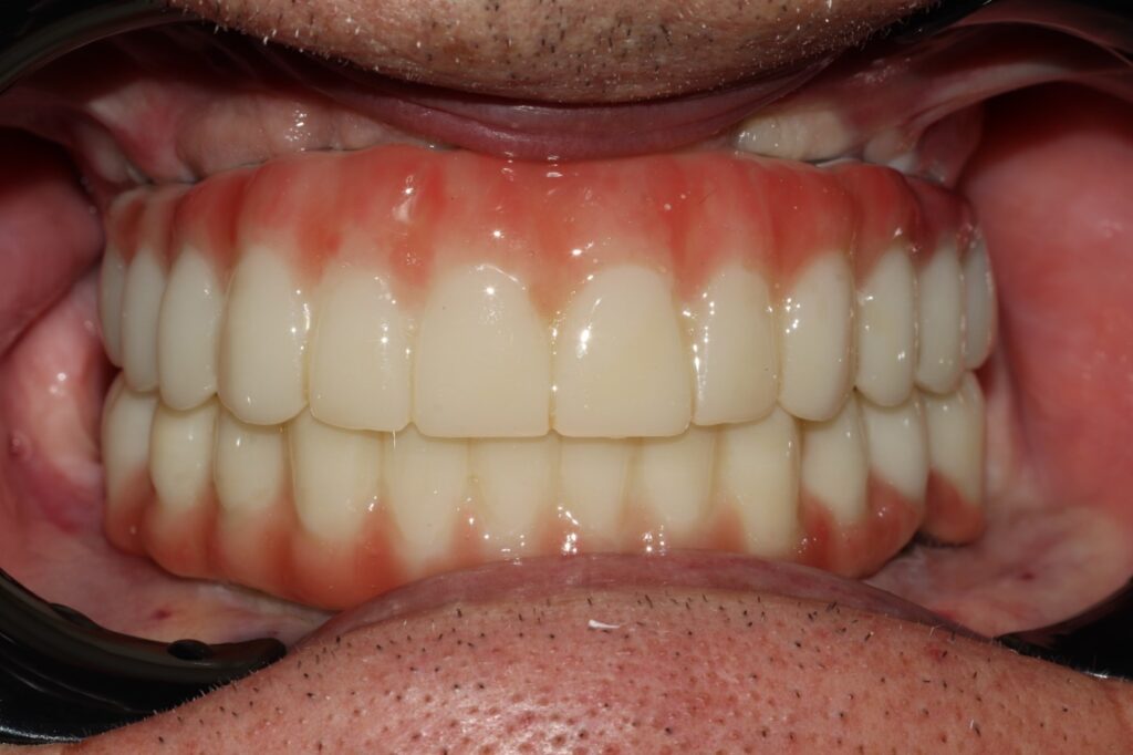
Установка протеза All-on-4 на верхней и нижней челюстях
Пациент: Питушкан.
Жалоба: Плохая фиксация съёмных протезов, дискомфорт при жевании и неудовлетворительная эстетика улыбки.
Лечение: По технологии FastNFix установили 4 импланта на верхней и 4 на нижней челюсти. Уже через 7 дней пациентка получила временные условно-съёмные протезы — красивая улыбка и комфорт в повседневной жизни восстановлены.
Установка зубных протезов на верхнеей и нижней челюстяхъ по системе All-on-4
Ортодонтическое лечение сужения верхней челюсти и дефицита места у ребенка: результат за 5 месяцев
Пациент: София, 8 лет
Жалоба и диагноз: Сужение верхней челюсти, дефицит места для постоянных зубов и тенденция к развитию патологического прикуса III класса.
Лечение и результат: Проведено лечение с использованием ортодонтического аппарата Марко Рома .
За 5 месяцев удалось расширить верхнюю челюсть, создать место для правильного прорезывания постоянных зубов и предотвратить развитие патологического прикуса.
Комплексное восстановление жевательной функции и эстетики: 11 имплантов и циркониевые коронки
Пациент: Блинов А.
Жалоба: Отсутствие жевательных зубов в боковых отделах и неэстетичный вид передних зубов.
Лечение: Восстановили улыбку и жевательную функцию: установили 11 имплантов Neodent с циркониевыми коронками и преобразили передние зубы циркониевыми коронками для идеальной эстетики.
Верх цирконий на 6-ти имплантах Neodent, нижняя временные акриловые
Пациент: Коцофан Д.
Жалоба: Пациент обратился с жалобой на отсутствие жевательной эффективности в боковых отделах верхней челюсти и неудовлетворительную эстетику передних зубов. Улыбка выглядела негармонично, что влияло и на уверенность в общении.
Лечение: Проведена имплантация верхней челюсти с установкой шести имплантов Neodent. На импланты зафиксированы индивидуальные циркониевые коронки, обеспечивающие как прочность, так и естественную эстетику. Для нижней челюсти использована временная акриловая конструкция, которая позволяет пациенту комфортно жевать на время подготовки к следующему этапу лечения.
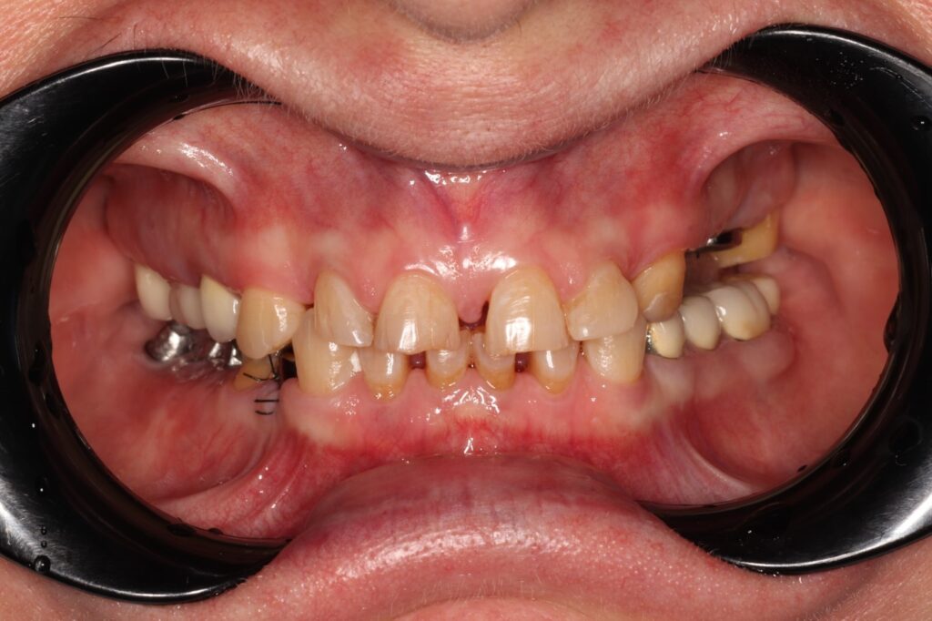
Тотальная реабилитация на зубах и имплантах, комбинация с художественной реставрацией
Пациент: Раду А.
Жалоба: Пациент обратился с выраженным разрушением зубов, отсутствием ряда жевательных единиц и нарушением прикуса. Эстетика улыбки и функция были значительно снижены, что вызывало дискомфорт в повседневной жизни и неуверенность при общении.
Лечение: Проведена тотальная стоматологическая реабилитация с использованием собственных зубов и дентальных имплантов. Применена комбинированная методика: установка коронок, художественная реставрация зубов, а также протезирование на имплантах. Благодаря комплексному подходу удалось полностью восстановить жевательную функцию, гармонизировать прикус и создать эстетически привлекательную, естественную улыбку.
Тотальная реабилитация на зубах и имплантах, комбинация с художественной реставрацией
Пациент: Карим А.
Жалоба: Пациент обратился с серьёзной стоматологической проблемой: разрушенные зубы, неэстетичные металлические коронки и частичная адентия. Нарушены как жевательная функция, так и внешний вид, что доставляло дискомфорт и влиялo на качество жизни.
Лечение: Проведена тотальная реабилитация полости рта. После удаления всех сохранившихся зубов были установлены 4 импланта на верхней и 4 импланта на нижней челюсти. Уже через 5 дней пациент получил фиксированные временные протезы с естественной эстетикой и восстановленной функцией жевания. Работа выполнена в кратчайшие сроки командой специалистов Diplomat Med Center.
Полная реабилитация челюстей на имплантах: восстановление улыбки в два этапа
Этап 1: Подготовка и установка имплантов
Пациент: Корчмарь Ф.
Жалоба: Пациент обратился с полной потерей зубов на верхней челюсти и практически полной — на нижней. Из-за этого были нарушены жевательная функция, речь и эстетика лица. Состояние доставляло значительный физический и психологический дискомфорт.
Лечение: На первом этапе проведена комплексная диагностика и хирургическое вмешательство — тотальная реабилитация обеих челюстей с установкой по 4 импланта (на верхней и нижней челюсти). Использована методика немедленной нагрузки с фиксацией временных адаптационных протезов. Это позволило пациенту быстро вернуться к полноценной жизни без длительного периода без зубов.
Этап 2: Финальные несъёмные протезы на имплантах
После успешной остеоинтеграции имплантов, пациент вернулся для завершения лечения. На временных протезах он уже восстановил основные функции, но был готов к эстетически совершенной и долговечной конструкции.
Лечение: На втором этапе были изготовлены и установлены финальные акриловые несъёмные протезы (с опорой на импланты, произведённые в Италии). Конструкции спроектированы с учётом анатомии, эстетики и речевых особенностей пациента. Результат — естественная и симметричная улыбка, восстановление функции жевания и уверенность в себе.
