Удаление зубного камня — безопасная профессиональная чистка
и профилактика болезней дёсен

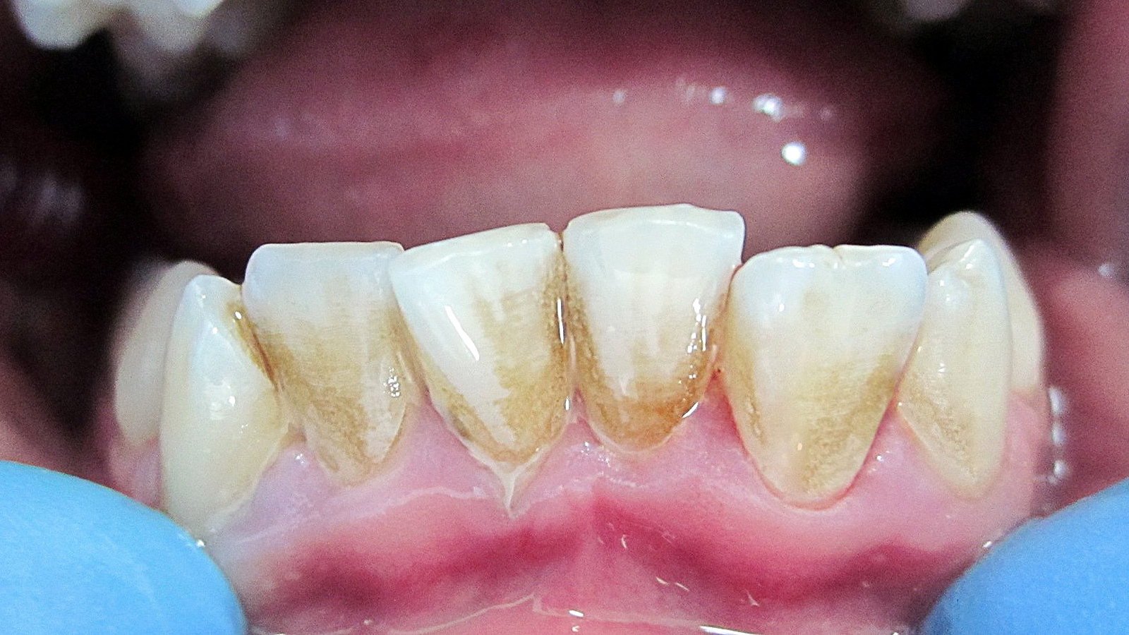
Что такое зубной камень и почему он появляется
Зубной камень — это минерализованный зубной налёт, который образуется из остатков пищи и бактериальной биоплёнки. Сначала на поверхности зуба формируется мягкая «зубная бляшка». Если её своевременно не удалить, в матриксе налёта откладываются минералы слюны (кальций и фосфаты), структура уплотняется и превращается в твёрдые над- и поддесневые отложения. Такая масса прочно фиксируется к эмали и корневой поверхности, не снимается обычной щёткой и постепенно распространяется в десневой карман.
Чем опасен зубной камень
Проблема не ограничивается эстетикой (жёлто-коричневое окрашивание и неприятный запах). Шероховатая поверхность камня удерживает бактерии, поддерживает хроническое воспаление дёсен, провоцирует кровоточивость, оголение шеек зубов и гиперчувствительность. При длительном течении увеличивается глубина десневых карманов и риск пародонтита, что грозит подвижностью и потерей зубов. Поэтому удалять камень важно на ранних этапах, не дожидаясь боли и осложнений.
Как формируется зубной камень: кратко о механизме
После приёма пищи на зубах остаются мягкие отложения. Недостаточная гигиена позволяет биоплёнке созреть, а минералы слюны «проникают» в её структуру. Так возникает наддесневой камень. Если процесс продолжается у края десны, минерализуется и поддесневой участок — отложения как бы «прорастают» в карман и контактируют с корнем. Именно поддесневой камень наиболее опасен из-за близости к тканям пародонта.

Профессиональное удаление зубного камня: современные методы
Ультразвуковой скейлинг
Высокочастотные колебания наконечника разрушают отложения, а водяной спрей охлаждает и вымывает фрагменты. Методика эффективна для плотного над- и поддесневого камня, сокращает время процедуры и снижает травматизацию тканей.
Air Flow (порошково-струйная очистка)
Струя воды, воздуха и мелкодисперсного порошка (глицин/эритритол) удаляет биоплёнку и пигмент в пришеечной зоне и межзубных промежутках. Идеально дополняет ультразвук, полируя эмаль и замедляя повторное прикрепление налёта.
Финишная полировка и реминерализация
После снятия камня поверхность выравнивается полировочными пастами. По показаниям наносятся фторсодержащие препараты, которые укрепляют эмаль и уменьшают чувствительность.
Когда необходимо обращаться к стоматологу
Поводом для визита служат видимые отложения у края десны, неприятный запах, кровоточивость при чистке, потемнение межзубных промежутков и чувство «шероховатости». Даже если жалоб нет, профилактическая чистка рекомендована каждые 6 месяцев, а при курении, ортодонтическом лечении, скученности зубов или повышенном риске — чаще, по индивидуальной схеме.
Как предотвратить повторное образование камня
Качественная домашняя гигиена остаётся базой: щётка с мягкой/средней щетиной, методичные выметающие движения, ежедневная межзубная очистка нитью или ёршиками, ирригатор при узких промежутках, зубная паста с фтором. Ограничивайте частые сладкие перекусы и окрашивающие напитки, а также планируйте регулярные профессиональные осмотры.
Удаление зубного камня в Diplomat Med Center
В Diplomat Med Center мы проводим профессиональную гигиену по международным протоколам: деликатно снимаем над- и поддесневые отложения ультразвуком, очищаем труднодоступные зоны технологией Air Flow, выполняем полировку и при необходимости — фторирование для укрепления эмали. Перед процедурой оцениваем состояние дёсен и при наличии воспаления предлагаем маршрут лечения в разделе пародонтологии. Если обнаружены кариозные полости, подключаем коллег из терапевтической стоматологии; при скученности и ретенции налёта — консультируемся с ортодонтом.
Процедура проходит быстро и комфортно, сразу дарит ощущение чистоты, гладкости эмали и свежего дыхания. Вы получите персональные рекомендации по щётке, пасте и межзубным средствам, а также индивидуальный график поддерживающих визитов.
Запишитесь на профессиональное удаление зубного камня в Diplomat Med Center уже сегодня — вернём вашим зубам естественную чистоту, уменьшим воспалительную нагрузку и поможем надолго сохранить здоровье дёсен и белизну улыбки.
